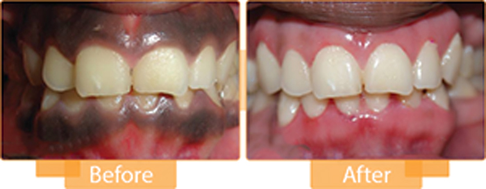
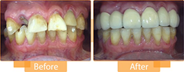
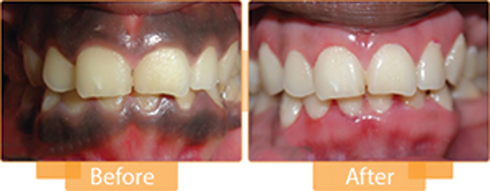
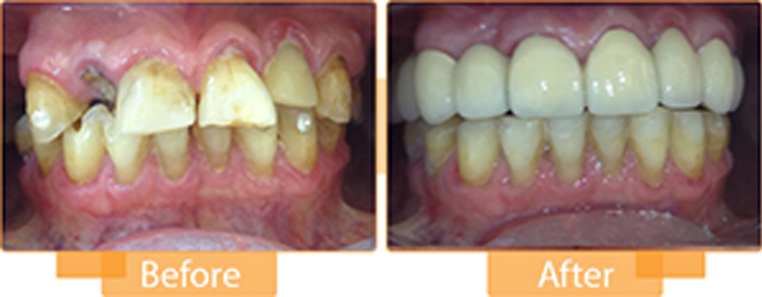
SMILE GALLERY

SMILE GALLERY

Clinic Photos

Operatory 1

Operatory 2

Advance Dental Equipment / Sterilization

Treatment Pics